みなさんは神経が死んでしまった歯は、変色してくるということをご存じですか?
はじめは気にならなかったのに、その歯だけ歯の色が黄色っぽく、茶色っぽくなってきて気になる、という方もいらっしゃるのではないでしょうか。
歯に栄養を送るため、神経の中には血液が流れています。
神経の周りにある象牙質にはコラーゲンが含まれていて、血液循環によりどんどん新しく代謝されますが、神経が死んでしまう事により血液循環がなくなると、やがてこのコラーゲンが蓄積し古くなって、時間の経過とともに変色していくのです。
ウォーキングブリーチとは
神経が死んでしまった歯(失活歯)には、一般的なホワイトニングの効果は出ません。
そのような歯を白くするのに効果的なのが、「ウォーキングブリーチ」です。
主に前歯で、神経を取ったのちに変色した歯を白くする施術で、神経を取った歯の中に直接ホワイトニング剤を入れる方法です。
歯の神経を取る治療、根っこの治療(根管治療)を行う際に、通常歯の後ろから穴を開け、根っこの中を掃除して中を塞ぎ、最後に開けた穴をプラスチック(レジン)で埋めます。
ウォーキングブリーチは、再度歯の後ろプラスチックを外し、根管治療で中を埋めた材料を取り除き、歯の中に薬剤を入れるスペースを作ります。
元々根っこの治療の際に歯を削っているので、そこまで新しく歯は削りません。
そして、そのスペースに漂白作用のある、過ホウ酸ナトリウムと30%程度の過酸化水素を混ぜて入れます。
そして、その上からセメントでしっかりと蓋をします。
中の漂白剤が、徐々に歯の着色成分を分解して、歯の色が白くなっていきます。
「ウォーキングブリーチ」とは、歯の中に漂白剤を入れ、普段の日常なのかで、歩いているうちに歯が白くなることが名前の由来です。
ウォーキングブリーチを行う前に歯の色を確認し、1週間ほどあけてから、もう一度色の確認を行います。
歯の厚みの違いや着色成分の量などにより、歯の色が白くなるのには個人差がありますので、隣の天然の歯と色が合うまでだいたい1回〜3、4回、薬の交換を繰り返します。
納得のいく白さになったら、漂白材を取り除き、歯の穴をプラスチック(レジン)でしっかり蓋をして終了になります。
ウォーキングブリーチの場合、また時間の経過とともに、歯の色が褐色〜黒く変色する場合があります。
その場合は、再度ウォーキングブリーチで対応できます。
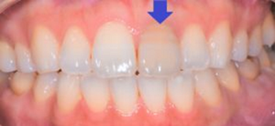
ウォーキングブリーチの症例紹介
下の画像は、当院にてウォーキングブリーチをされた患者様です。
before

after

| ①治療名 | ウォーキングブリーチ |
|---|---|
| ②治療説明 | 神経が死んでしまった歯を白くするためにウォーキングブリーチした症例です。 |
| ③治療回数・期間 | 1回 |
| ④副作用とリスク | 場合によって、痛みが生じるケースがあります。 |
| ⑤料金 | 1歯1回につき5,500円(税込) |









ホーム









